联系我们

400-999-0365

联系我们

电话:400-999-0365

QQ: 109813158

邮编:201103

邮箱:info@asiagene.com.cn

地址:上海市闵行区吴中路1780号洋广场5楼510室

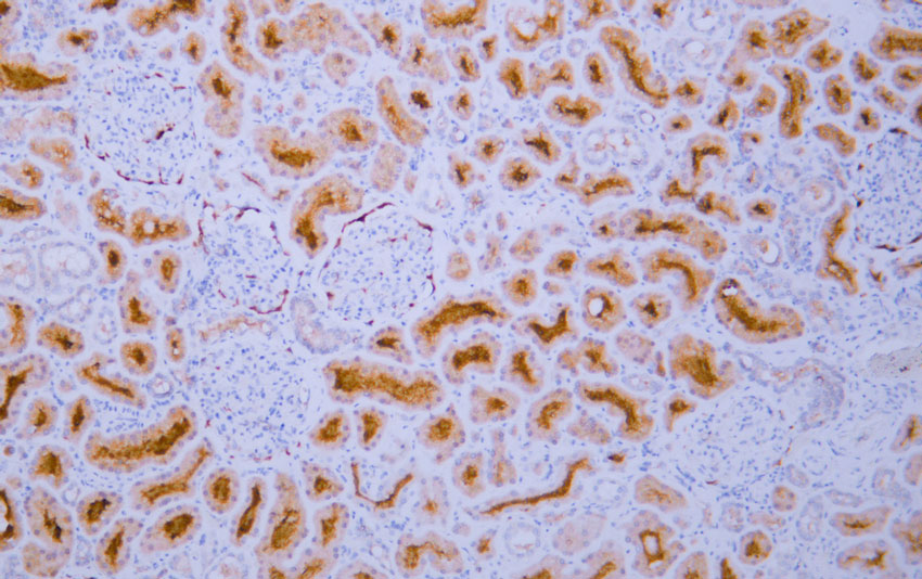
HDAC6 (ABT-HDAC6) Mouse mAb

-YM6120

主要信息
Target

HDAC6

Host Species

Mouse

Reactivity

Human, Mouse

Applications

IHC, ELISA

Conjugate/Modification

Unmodified

详细信息

Toggle night Mode

{{pinfoXq.title || ''}}

Catalog: {{pinfoXq.catalog || ''}}
Filter:

All

{{item.name}}

{{pvTitle}}

滚轮缩放图片
{{pvDescr}}