联系我们

400-999-0365

联系我们

电话:400-999-0365

QQ: 109813158

邮编:201103

邮箱:info@asiagene.com.cn

地址:上海市闵行区吴中路1780号洋广场5楼510室

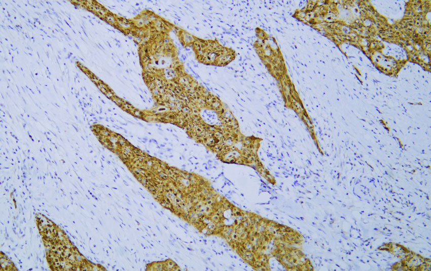
GST-Pi (ABT-GSTP1) Mouse mAb

-YM6765

主要信息
Target

GST-Pi

Host Species

Mouse

Reactivity

Human

Applications

IHC, ELISA

MW

23kD (Calculated) 26kD (Observed)

Conjugate/Modification

Unmodified

详细信息

Toggle night Mode

{{pinfoXq.title || ''}}

Catalog: {{pinfoXq.catalog || ''}}
Filter:

All

{{item.name}}

{{pvTitle}}

滚轮缩放图片
{{pvDescr}}