联系我们

400-999-0365

联系我们

电话:400-999-0365

QQ: 109813158

邮编:201103

邮箱:info@asiagene.com.cn

地址:上海市闵行区吴中路1780号洋广场5楼510室

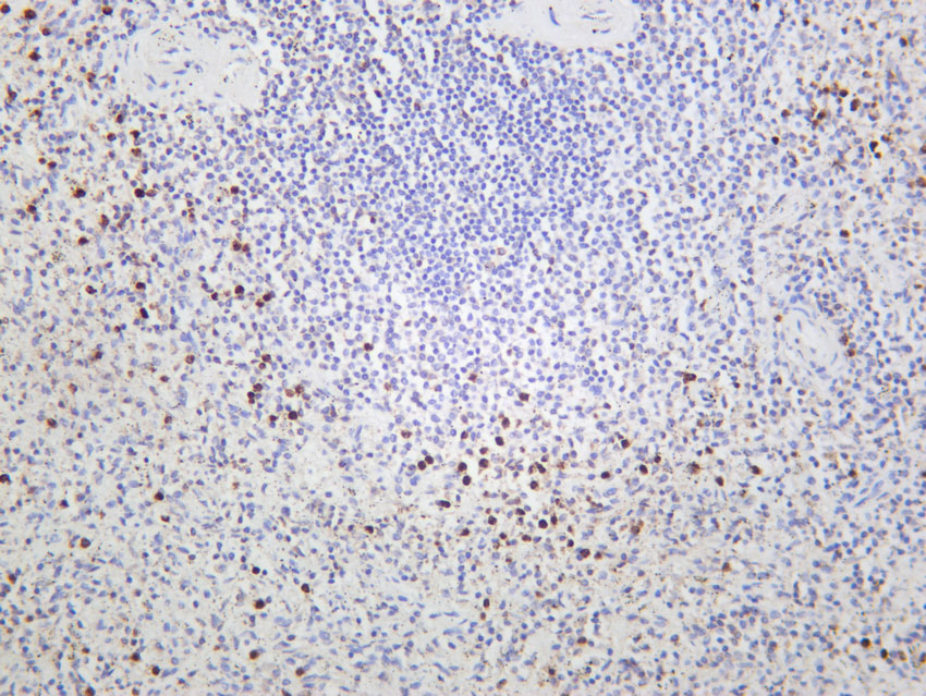
Granzyme B (PT0581R) PT™ Rabbit mAb

-RA1393

主要信息
Target

Granzyme B

Host Species

Rabbit

Reactivity

Human

Applications

WB, IHC, IF, IP, ELISA

MW

28kD (Calculated) 37kD (Observed)

Conjugate/Modification

Unmodified

详细信息

Toggle night Mode

{{pinfoXq.title || ''}}

Catalog: {{pinfoXq.catalog || ''}}
Filter:

All

{{item.name}}

{{pvTitle}}

滚轮缩放图片
{{pvDescr}}